Restorative Treatments

Cornerstone Dental

Dr. Malatesta with a patient at Cornerstone Dental

Cornerstone Dental in Rochester, NY specializes in restorative treatments to help patients regain their smiles and confidence. Our skilled team provides a range of services, including fillings, crowns, bridges, and dental implants, all tailored to meet individual needs. Utilizing advanced materials and technology, we ensure durable and natural-looking results.

Confidence Restored Through Comprehensive Care

Full Mouth Rehabilitation

This patient achieved a life-changing transformation in just a few weeks following Phase 1 of a Full Mouth Rehabilitation. While we are currently moving forward with dental implants to restore missing teeth, his new smile has already provided a massive boost in personal confidence.

Treatment completed by Dr. Matt Valerio

*results not guaranteed

Severe tooth wear before treatment

Severe tooth wear before treatment

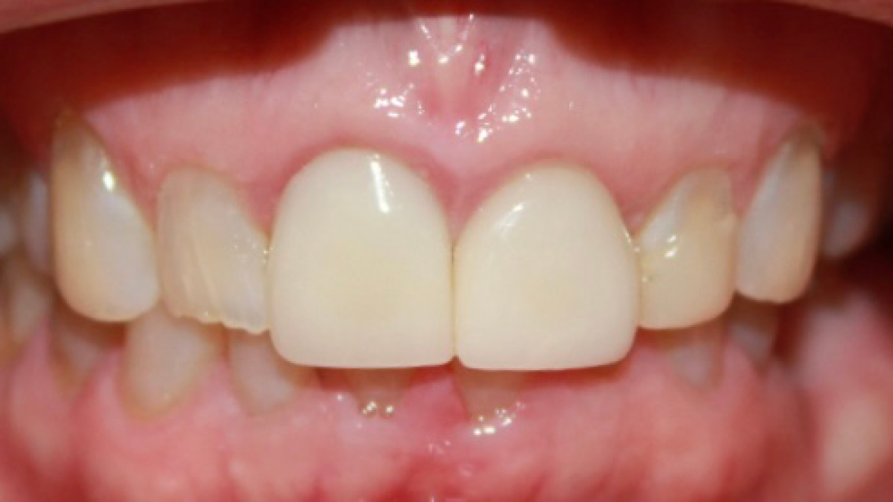
Phase 1 transformation and bite restoration

Phase 1 transformation & bite restoration

Restoring Height & Function After Acid Erosion

Acid Erosion & Bite Restoration

Chronic acid erosion can significantly reduce the height of teeth and compromise the alignment of your bite. We carefully planned a comprehensive reconstruction to open this patient’s bite and create the necessary space for restorative work. The result is a healthy, structurally sound smile that our patient is ecstatic to show off.

Treatment completed by Dr. Matt Valerio

*results not guaranteed

Advanced acid erosion and reduced vertical dimension

Advanced acid erosion & reduced vertical dimension

Restored bite alignment and aesthetic reconstruction

Restored bite alignment & aesthetic reconstruction

Dental Implants

Experience the most advanced solution for tooth replacement with dental implants, offering a permanent and natural-looking way to restore your smile.

Learn More

Dental Bridges

Restore your smile and improve your bite with dental bridges, a reliable solution for replacing missing teeth and maintaining dental function.

Learn More

Dental Crowns

Protect and strengthen damaged teeth with dental crowns, custom-made to blend seamlessly with your natural smile while providing lasting durability.

Learn More

CEREC Same-Day Crowns

Experience convenience with CEREC same-day crowns, where advanced technology allows us to design, fabricate, and place your custom dental crown in a single visit.

Learn More

Dentures

Regain confidence and functionality with our custom-fitted dentures, designed to provide a comfortable and natural-looking solution for missing teeth.

Learn More

Inlays & Onlays

Repair damaged or decayed teeth with inlays and onlays, precision-crafted restorations that enhance the strength and appearance of your teeth.

Learn More

Non-Surgical Root Canal

Save your natural tooth with a non-surgical root canal, a pain-relieving procedure that treats infection and restores your tooth’s health and function.

Learn More

Always Welcoming New Patients

Cornerstone Dental

Our friendly team of dentists in Rochester, NY is committed to supporting your oral and overall health with treatments and procedures that optimize your smile. Whatever your needs, we’re here to provide the calming, compassionate, high-quality dentistry your family wants and deserves. If you are ready to get started, fill out the simple form and we will get back to you promptly.

This field is for validation purposes and should be left unchanged.
Name(Required)

What Our Patients Say